【實用醫療app】CARDIO3® INVASIVE|最夯免費app

【實用醫療app】CARDIO3® INVASIVE|最夯免費app

分享好友

【免費醫療App】CARDIO3® INVASIVE-APP點子

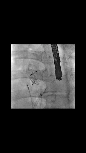
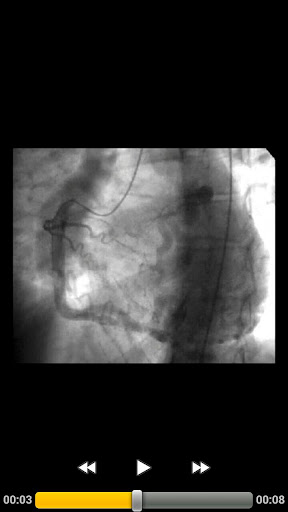
CARDIO3® Atlas of Interventional Cardiology is a CARDIO3®INVASIVE project – reference/learning tool for cardiologists, cardiac surgeons, internists, other physicians evaluating interventional images in cardiology.

Edited by Jaroslav Januska M.D. Hospital Podlesi a.s., Cardiac Centre, Trinec

Roman Kerekes M.D., 1st Medical School, Charles University, Prague, Czech Republic

Table of Content

A. Coronary anomalies

B. Coronary interventions

【免費醫療App】CARDIO3® INVASIVE-APP點子

C. Aorta and aortic valve

D. Left ventricle

E. Mitral Valve

【免費醫療App】CARDIO3® INVASIVE-APP點子

F. Pericardial diseases

G. Pulmonary valve

H. Congenital anomalies

【免費醫療App】CARDIO3® INVASIVE-APP點子

I. IVUS

J. Post-CABG

K. Complications

【免費醫療App】CARDIO3® INVASIVE-APP點子

L. Peripheral interventions

Features >

- the app requires Internet connection

- 300 annotated videos (September 2011) and growing

- once purchased, the database of videos loading from our server is regularly updated and extended

IMPORTANT: in case of any technical issue please, DON'T RATE BAD, DON'T COMPLAIN IN REVIEWS but send us an email! We'll fix it ASAP!

【免費醫療App】CARDIO3® INVASIVE-APP點子

NOTE: The size and quality of the video files are optimized and it's easy to download over a 3G connection.

*** We currently support video for QVGA (320x240), VGA (640x480), WVGA (800x480) and higher resolution displays.

免費玩CARDIO3® INVASIVE APP玩免費

免費玩CARDIO3® INVASIVE App

CARDIO3® INVASIVE APP LOGO

CARDIO3® INVASIVE LOGO-APP點子

CARDIO3® INVASIVE APP QRCode

CARDIO3® INVASIVE QRCode-APP點子
熱門國家系統支援版本費用APP評分上架日期更新日期
未知Android
Google Play
1.11
App下載
EUR$29.99
1970-01-012015-03-11
分享app
上一個APP
下一個APP

高評價醫療App推薦

BJORL

O Brazilian Journal of Otorhinolaryngology ISSN 1808-8694 (impresso), publicação bimestral da Associação Brasileira de Otorrinolaringologia e Cirurgia …
BkPain

This application is a quick, easy way to study the effect of nerves at different levels of the spine. Also a great way to find out where the pain you' …